こちらではインプラントと歯周病治療の症例をご紹介いたします。治療のご参考にご覧下さい。
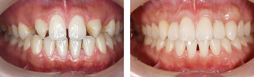
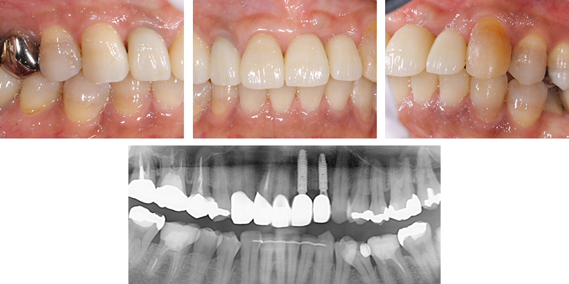
インプラント症例
 |
| |
|
治療においては以下のようなリスク、副作用がありますが、十分な診断と説明のもと、行います。
適切な処置やケアがあれば、軽減することが可能ですので、違和感などあれば遠慮なくお尋ねください。
|
| (1) |
インプラント手術後、軽い痛みや腫れが数日間続く場合があります。 |
| (2) |
インプラント手術後に感染症が発生することがあります。 |
| (3) |
インプラント手術中に周囲の組織(神経、血管、骨など)が損傷する可能性があります。 |
| (4) |
手術後、インプラントが十分に骨に結合しない場合があります。 |
| (5) |
インプラントが天然歯と異なる場合があり、審美的な問題が生じることがあります。 |
|
|
 |
